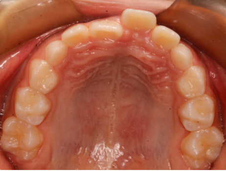
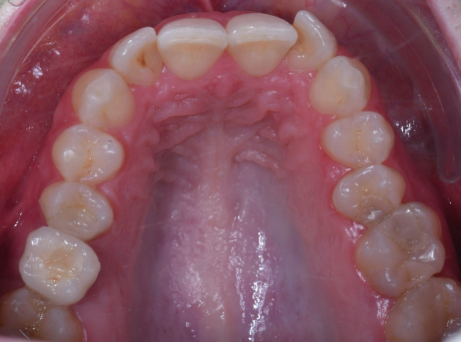
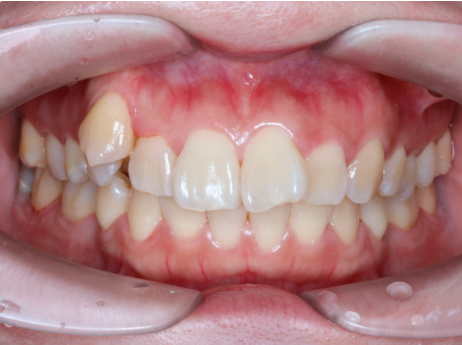
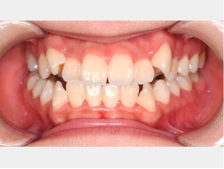
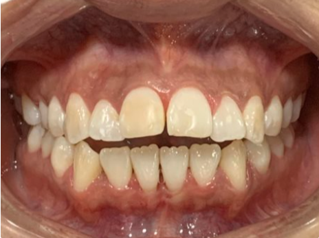
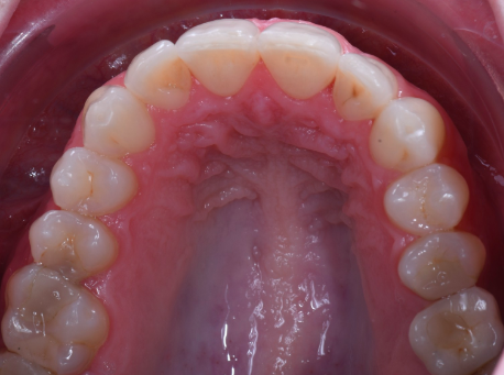
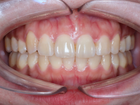
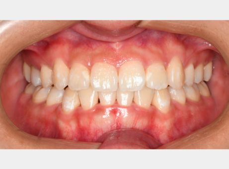
Benefícios
- Quase invisível nas fotos e no dia a dia
- Removível: tira para comer e escovar
- Confortável: sem ferro e sem braquetes
- Consultas rápidas e menos idas ao consultório
- Você vê a previsão do resultado antes de começar
- Scanner intraoral: diagnóstico preciso e moldagens sem massa
- Acompanhamento próximo da Dra. Elis Rocha (CRO/SP 127.773)















